L’antigène Ki-67 fait partie des marqueurs de prolifération. Il s'agit d'une protéine nucléaire de 360 kDa (numéro d'accession P46013) présente dans les cellules prolifératives. L'antigène Ki67 a été décrit par Gerdes en 1983 après immunisation de lapins par injection de noyaux de cellules de lymphome provenant d’un lymphome de Hodgkin (clone 67 de la plaque 96 puits, étude réalisée dans la ville de Kiel).
Ki-67 est une protéine nucléaire non histonique, qui est codée par le gène MKI-67 et exprimée dans toutes les phases du cycle cellulaire, sauf pendant la phase G0,.
Il est présent au niveau du noyau des cellules prolifératives, en phase G1, S, G2 et M. Il est exprimé à la périphérie des chromosomes et agit comme un tensioactif qui permet de maintenir séparés les chromosomes mitotiques. Une participation au maintien du pouvoir prolifératif ou au contrôle du cycle cellulaire est suggérée.
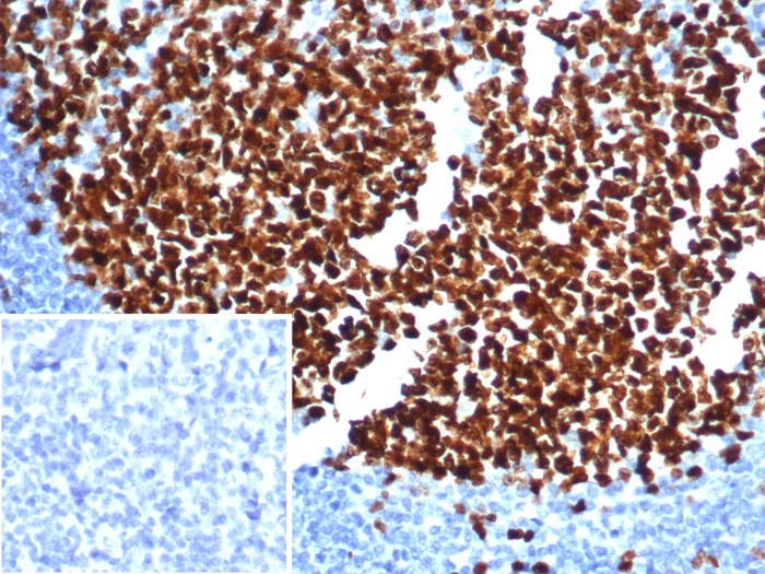
L’antigène Ki-67 est détecté par anticorps anti-Ki-67 en immunohistochimie et immunofluorescence. En pratique l’index de marquage par le Ki-67 représente le pourcentage de noyaux colorés par l’anticorps anti-Ki-67.
En oncologie, l'antigène Ki-67 semble être un marqueur permettant de prévoir la sensibilité d'une tumeur aux agents cytotoxiques, en particulier dans le cancer du sein et dans l'orientation de la prise en charge des femmes présentant un test HPV positif effectués dans le cadre du dépistage du cancer du col de l’utérus.
Notes et références
- Portail de la médecine




